Metatarsal fractures represent one of the most prevalent sports injuries, causing injury to players of all ages. Whether occurring from an acute injury during an athletic event, a car accident, or by overuse, a fracture metatarsal is a serious situation that causes extreme pain and forces individuals to disrupt regular activity. Knowledge of the type of such an injury, from diagnosis to healing, is necessary for any patient who has such an issue. This manual has all that matters about metatarsal fractures, symptoms, treatment, and healing.
What Are Metatarsal Fractures?
The metatarsals are long bones of the foot linking toes to the mid-foot. They bear weight in standing, walking, or running to support the body. Metatarsal fractures happen when one or more of these bones crack or break. Based on where they happen and how severe they are, these breaks vary from stress fractures, which appear over time as a result of recurring stress, to sudden breaks as a result of accidents or trauma.
Symptoms of Metatarsal Fractures
Recognition of the signs of a metatarsal fracture is vital for early consideration of seeking medical care. Signs of a metatarsal fracture include:
- Pain: Pain over the point of fracture, which is exacerbated by pressure or movement.
- Swelling: The toe or foot swells and becomes tender to touch.
- Bruising: Tissue discoloration around the area of trauma is possible within a short duration of fracture.
- Pain Walking: Pain can halt walking or standing upright, particularly when weight is borne on the hurt foot.
- Deformity: In some cases, the bone will shift, causing obvious deformities in the structure of the foot.
If you notice any of these signs after a fall, sports injury, or repetitive strain, it’s best to consult a medical professional to ascertain the extent of the injury.
Diagnosing Metatarsal Fractures
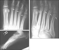
After a visit to a doctor, a complete evaluation is done to evaluate the injury. The majority of them need medical imaging in order to be diagnosed properly. Of the two most common pieces of diagnostic equipment for metatarsal fractures, they are:
- X-rays: They are the first line for determining whether or not there is a fracture, where and how it is located.
- MRI or CT Scan: These may be employed occasionally if stress fractures are suspected or to scan for soft tissue damage surrounding the bone.
Proper diagnosis guarantees that the correct treatment process can be started in time, avoiding complications and allowing quicker healing.
Treatment Options for Metatarsal Fractures
Treatment of metatarsal fractures depends on the nature and severity of the fracture. The main aim is pain relief, protection of the bone, and healing in a proper manner. Treatment is as under:
Non-Surgical Treatment
Most metatarsal fractures, particularly non-displaced (where the bone is in place), can be treated without surgery. These include:
- Rest: Avoiding weight-bearing exercise, like walking or standing for a long time, helps to heal the bone.
- Ice Therapy: An application of ice over the injured foot is used to reduce swelling and pain.
- Elevation: The elevation of the foot is used to control swelling and pain.
Casting or Splinting: Immobilization of the foot by a cast or a splint is done to keep the bone in its position while it heals.
The use of crutches prevents weight-bearing on the injured foot.
Surgical Treatment
For a fracture of serious kind, displacement, or failure to heal with conservative methods, surgery may be done. The procedures involve:
- Internal Fixation: A process by which screws, plates, or pins are put in the bone in order to fix it and cause it to heal.
- External Fixation: For some disorders, external machinery is utilized in order to hold the bones firm and cause them to heal.
- Surgery is normally left to complicated fractures when other forms of treatment are inadequate.
Rehabilitation and Recovery
Healing from a metatarsal fracture takes more than resting and immobilizing the foot. As soon as the bone is healing, the rehabilitation exercises become essential for gaining strength, flexibility, and foot function. The most important recovery phases generally are:
Early Healing Phase (Weeks 1–3)
In the initial recovery phases, the care of the foot and minimizing swelling is under consideration. A cast, boot, or splint is often used, and the activity must be low level to prevent bone stress.
Intermediate Healing Phase (Weeks 4–6)
When acute pain and swelling have lessened, partial weight-bearing activities on crutches or a walking boot may be prescribed by your doctor.
Late Healing and Strengthening Phase (Weeks 7–12)
After the healing of the fracture, physical therapy is required. Physical exercises to enhance mobility, strength, and balance will be prescribed. You may also gradually resume low-impact exercises such as swimming or cycling.
Full Recovery Phase (3–6 months)
Complete healing of a broken metatarsal may take months, and the bone gets stronger with time. The majority of people are again ready to pursue activities such as running or jumping once they are discharged by the doctor but should be careful not to overuse the foot.
Preventing Future Metatarsal Fractures
Although some metatarsal fractures cannot be prevented, you can do a few things to limit your risk for future damage. These include:
- Wearing Appropriate Footwear: Cushioning and supportive shoes can protect your feet during exercise.
- Strengthening the Foot’s Muscles: Muscle strengthening of the foot’s and leg’s muscles can enhance stability and avoid stress fractures.
- Preventing Overuse: Limiting physical exercise and avoiding the sudden increase in intensity or duration can prevent overuse injury.
- Bone Condition: Adequate amount of vitamin D and calcium assures good bone strength and minimizes risk to fractures.
Treatment for Fracture of Fibula Bone
Similar to metatarsal fractures, fibula fractures are prevalent fractures that can happen through injury, accidents, or sports. Fibula is one of the lower leg long bones running in parallel with tibia. A break in fibula can range from a hairline fracture to more extensive break. Fibula fractures are addressed through non-surgical methods, such as casting and rest, and surgery in extreme cases. Reconstitution is critical to restore leg strength and functionality after a fibula fracture, and physical therapy might be needed in order to gain full mobility.
Getting Help from the Top Orthopedic Surgeons in Dubai
If you have metatarsal or fibula fractures, it is important to consult with a professional orthopedic surgeon. Having the expertise of the best orthopedic surgeon in Dubai guarantees proper diagnosis, successful treatment, and rehabilitation to enable you to return to normal activities quickly. The finest orthopedic physicians in Dubai offer individualized treatment, employing advanced medical equipment and technology to recover from bone fracture and injury efficiently.
Final Thoughts
Metatarsal fractures, while painful and sometimes challenging to manage, can be effectively treated with the right approach. Whether treated conservatively or through surgery, proper medical care and rehabilitation play a critical role in restoring the function of the foot. If you’re dealing with a metatarsal fracture, it’s essential to follow your doctor’s advice closely to ensure a full and healthy recovery.
At Al Shifa Al Khaleeji, we are aware of the complexities involved in foot trauma and are dedicated to give you the best care. From diagnosis to rehabilitation, we are dedicated to walk with you each step of the way. With our exceptionally qualified trained specialists and complete range of treatment services, you can be assured that you will be treated to the care needed to restore your activity with comfort and confidence. Call us today and we will take you step by step through the recovery process.
Metatarsal fractures are typically caused by trauma, such as a fall, car accident, or sports injuries. Repetitive stress from overuse can also lead to stress fractures, especially in athletes.
Symptoms include pain, swelling, bruising, difficulty walking, and possible foot deformities. If you suspect a fracture, it’s essential to seek medical attention for a diagnosis.
Non-surgical treatment involves rest, ice, elevation, and immobilization with a cast. Surgery is needed for more severe or displaced fractures to stabilize the bones.
Recovery varies but usually takes 6 to 12 weeks, with rehabilitation starting after initial healing. Full recovery can take up to 3 to 6 months.
Consult an orthopedic surgeon if you experience significant pain, swelling, or difficulty walking. They will provide proper diagnosis and treatment recommendations.



GIPHY App Key not set. Please check settings